Допплерография – это разновидность ультразвуковой диагностики, с помощью которой можно исследовать кровообращение плода. Также с помощью этого метода изучают кровоток в артериях матки и функциональную способность плаценты. Доплер при беременности дает возможность врачу выяснить первопричину отставания в развитии плода, а также принять меры для предотвращения развития патологических состояний в организмах ребенка и матери.
Кому и на каком сроке назначается допплерография?
Каждая беременная должна не менее двух раз в течение всей беременности пройти это исследование. Проводится оно первый раз в период 22-24 недели, а второй раз на 34неделе. Также существует ряд показаний, по которым гинеколог может назначить данное исследование еще несколько раз.
К таким показаниям относятся:
- Резус-конфликт. Это состояние может привести к развитию патологии плода, а также к его смерти, поэтому контроль состояния его системы кровообращения должен проводиться постоянно.
- Заболевание беременной инфекционными заболеваниями. Такое состояние здоровья матери также является непосредственной угрозой жизни эмбриона.
- Подозрение гинеколога на патологию развития плода, гипоксия, обвитие пуповиной.
- Заболевания сердечно-сосудистой и гормональной систем организма беременной.
- Размер плода не соответствует неделе беременности.
- Многоплодная беременность и преждевременное созревание плаценты.
Важно! Доплер – исследование может делаться и непосредственно перед родами. С помощью него можно удостоверится в том, что роженица сможет нормально справиться с родовой деятельностью, а также окончательно убедится в том, что ребенок не подвержен развитию какого-либо патологического процесса.
Доплерография при беременности является важным инструментом для оценки состояния плода и материнского организма. Врачи отмечают, что этот метод позволяет получить информацию о кровотоке в сосудах, что особенно важно для выявления возможных осложнений. С помощью допплеровского исследования можно оценить кровоснабжение плаценты и пуповины, а также выявить признаки гипоксии у плода.
Специалисты подчеркивают, что доплерография не только помогает диагностировать проблемы, но и позволяет контролировать динамику состояния беременной и плода на протяжении всего срока. Это исследование безопасно и безболезненно, что делает его доступным для регулярного использования. Врачи рекомендуют проводить доплерографию в определенные сроки, чтобы своевременно выявить любые отклонения и принять необходимые меры для обеспечения здоровья матери и ребенка.

Принцип работы и разновидности допплерографии
Данное исследование несколько отличается от традиционных УЗД. Дело в том, что датчик расположенный в допплеровском аппарате реагирует на какое-либо движение. Если происходит исследование организма беременной женщины, то он реагирует на движение крови, а именно эритроцитов. Допплеровский спектр отображается на экране монитора и благодаря ему врач судит о состоянии гемодинамики.
Существует две разновидности допплерографии:
- Дуплексное сканирование – с помощью него изучается функциональное состояние сосудов и их проходимость. Если же обнаружилась какая-либо патология в этой системе, то благодаря данному методу можно выявить ее первопричину.
- Триплексное сканирование (ЦДК) – выполняет те же функции, но еще и отображает цветную картинку на экране устройства. Благодаря этому специалист может видеть более полную картину состояния системы кровообращения эмбриона и беременной. А также дифференцировать причину возникновения той или иной патологии.
Важно! Такое исследование получило широкое распространение в акушерской практике, потому как оно является не инвазивным (бескровным). Кроме того, данный метод не требует какой – либо предварительной подготовки и проводится за небольшой промежуток времени.
Методика проведения исследования
Чтобы провести доплер-узи беременной не нужно как-то специально готовиться. Исследование проводится в течение нескольких минут и не приносит будущей маме неприятных ощущений. Будущая роженица располагается, лежа на кушетке с обнаженным от груди до лобка животом, а специалист проводит процедуру, водя датчиком по нему.
Само исследование состоит из двух этапов:
- Сначала доктор тщательно изучает маточно-плацентарное кровообращение, потому как именно из-за нарушения этого показателя возможно развитие нарушений гемодинамики самого плода. Можно обнаружить нарушение имплантации плодного яйца в плаценту, а также нарушение ее развития и кровоснабжения.
- Обследуются все органы и системы плода. На этом этапе можно узнать о гипоксии или обвитии пуповиной и провести соответствующие манипуляции, которые позволят избавиться от этих состояний.
Интересно то, что данное исследование не даст никакой информации о поле ребенка, и на каком сроке находится беременная женщина. С помощью него можно удостоверится в том, что организм ребенка насыщается кислородом в достаточной степени, а также в том, что его сердечно-сосудистая система в норме.
Доплер при беременности — это метод ультразвукового исследования, который позволяет оценить кровоток в сосудах плода и матери. Многие будущие мамы отмечают, что процедура помогает им лучше понять состояние их малыша. С помощью Доплера можно выявить возможные проблемы с кровоснабжением, что особенно важно в поздние сроки беременности. Врачи используют этот метод для мониторинга сердечного ритма плода и оценки его реакции на различные факторы, такие как физическая активность матери. Женщины часто говорят о том, что слышать сердцебиение своего ребенка — это невероятно трогательный момент, который укрепляет связь между ними. Кроме того, Доплер помогает выявить возможные осложнения, такие как гипоксия, что позволяет своевременно принять меры. В целом, этот метод становится важной частью пренатального наблюдения, обеспечивая спокойствие и уверенность будущим родителям.

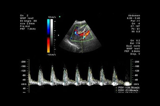
Нормы показателей допплер-УЗИ при беременности
Гинеколог начинает проведение процедуры с внимательного исследования артериального кровотока сообщающих матку с плацентой. При чем обязательно следует проводить изучение и той, и другой стороны кровообращения. Все потому что нарушения в 2/3 беременностей, которые отягощены гестозом, врач отмечает только лишь с одной стороны. Для проведения анализа скорости кровотока в сосудах матки используется индекс резистентности. ИР можно рассчитать по формуле ИР=(С — Д)/С. В этой формуле С является максимальной систолической скоростью кровообращения, Д – конечная диастолическая скорость кровообращения. Систола соответствует сокращения желудочков сердца, а диастола – это промежуток расслабления. По этим показателям проходит анализ кровообращения и его динамики. Чтобы получить среднее значение ИР нужно провести несколько определений сердечного цикла. Для расшифровки значений существует специальная таблица.
Метод допплерографии позволяет выявить изменения нормы ИР, начиная даже со второго триместра беременности. Благодаря этому можно предположить о возможных проблемах, которые могут возникнуть в последующем триместре гестации. На основе этого можно определить гестоз, преждевременное созревание плаценты и прочие нарушения. Ценность метода заключается в том, что, благодаря ему можно на ранних сроках определить нарушения и начать лечение.
После того как гинеколог провел изучение артерий матки, далее происходит исследование сосудов плода и пуповины. Это позволяет оценить компенсаторные механизмы, а также степень нарушений кровообращения. Для того чтобы провести исследование средней мозговой артерии должно делаться ЦДК.
Этот метод должен проводиться по показаниям. Следует заметить, что они схожи с показаниями характерными для диагностики кровообращения артерий матки. Также ЦДК назначается при наличии:
- резус-конфликт;
- врожденный порок развития плода;
- патология развития сосудов пуповины;
- неимунной водянки плода;
- отклонениях на кардиотокограмме (КТГ).
Помимо ИР для оценки кровообращения между плацентой и плодом используется СДО и ПИ. СДО является соотношением систолы и диастолы, а ПИ – это пульсационный индекс, который рассчитывается по формуле ПИ=(С-Д)/М. М считается средним значением скорость кровотока.
Для здорового течения беременности нормальный кровоток является одинаковым в двух артериях. Кровоснабжение плаценты должно быть равномерным. Каждой пуповинной артерии соответствует сторона, поэтому при разности интенсивности проявляются проблемы развития. С помощью этого метода и выявляются односторонние нарушения кровоснабжения плода.
Насколько безопасен метод допплерографии?
Огромное количество ученых и врачей утверждает, что допплерография является абсолютно безопасным методом исследования как для матери, так и для ребенка. Полезность же сложно переоценить, поскольку даже на ранних сроках врач имеет информацию о состоянии и развитии плода. Это дает возможность применить вовремя необходимые меры для того, чтобы предотвратить нежелательные последствия. Кроме того, данное исследование высокоточное, поэтому его результаты всегда достоверны.
Ввиду того, что современные пациенты становятся более подкованы в медицинском плане, у них выработалось предвзятое отношение к излучению любого рода. Но стоит заранее заметить то, что все аппараты проходят сертификацию и имеют соответствующие документы. Поэтому нет смысла переживать о безопасности при использовании аппаратов, размещенных в различных лечебно-профилактических учреждениях. Более того, специалист кабинета УЗИ может предоставить документы, в которых указаны уровни воздействия на организмы беременной женщины и плода.
Во время проведения УЗИ используются максимально низкие значения, при которых возможно использование метода для достижения эффекта. Также на современных аппаратах можно обнаружить некоторые показатели. Это своеобразные индексы, термальный и механический. Термальный нужен для того, чтобы предотвратить перегрев тканей человека. Механический используется для оценки всех прочих факторов воздействия аппарата УЗИ.
Исходя из этого, важно понимать, что нет ни абсолютных, ни относительных противопоказаний к проведению данной процедуры. Специалист УЗИ-кабинета имеет образование в соответствующей категории и ознакомлен с воздействием излучения. Поэтому можно не беспокоиться о том, что такое исследование может стать причиной возникновения патологии беременности.
https://youtube.com/watch?v=MMaWWNtELic%3Ffeature%3Doembed
Данная статья размещена исключительно в общих познавательных целях посетителей и не является научным материалом, универсальной инструкцией или профессиональным медицинским советом, и не заменяет приём доктора. За диагностикой и лечением обращайтесь только к квалифицированным врачам, в государственных больницах и частных клиниках.
Вопрос-ответ
Что такое доплерография и как она используется при беременности?
Доплерография — это ультразвуковое исследование, которое позволяет оценить кровоток в сосудах матери и плода. При беременности этот метод используется для мониторинга состояния плода, выявления возможных нарушений в его развитии и оценки плацентарного кровотока. Это помогает врачам своевременно обнаружить проблемы и принять необходимые меры для обеспечения здоровья матери и ребенка.
Какие показатели доплерографии являются нормой во время беременности?
Нормальные показатели доплерографии могут варьироваться в зависимости от срока беременности, но в целом важно, чтобы кровоток в артериях пуповины и матки был стабильным и адекватным. Например, индекс резистентности (IR) в артериях пуповины обычно должен быть ниже 0,8. Врач интерпретирует результаты, учитывая индивидуальные особенности каждой беременной женщины и состояние плода.
Как часто нужно проводить доплерографию во время беременности?
Частота проведения доплерографии зависит от состояния здоровья матери и плода, а также от наличия факторов риска. Обычно доплерографию рекомендуют проводить в третьем триместре беременности, но в случае осложнений или подозрений на патологии, исследование может быть назначено и ранее. Врач определяет необходимость и частоту обследований индивидуально для каждой пациентки.
Советы
СОВЕТ №1
Перед проведением доплерографии обсудите с вашим врачом все возможные показания и противопоказания. Это поможет вам лучше понять, зачем вам нужно это исследование и какие результаты вы можете ожидать.
СОВЕТ №2
Не забывайте о важности регулярных обследований во время беременности. Доплерография может помочь выявить проблемы с кровообращением у плода, поэтому следите за рекомендациями врача и проходите все назначенные процедуры.
СОВЕТ №3
Обратите внимание на то, что доплерография не является единственным методом мониторинга состояния плода. Используйте его в сочетании с другими исследованиями, такими как УЗИ и анализы, для получения полной картины здоровья вашего ребенка.





