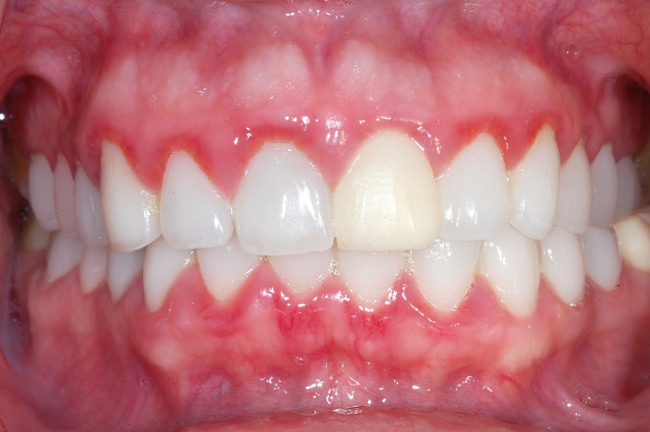
Гингивит — основные симптомы: Боль в десне Кровоточивость дёсен
Гингивит – заболевание, характеризующееся воспалением десны, покраснением, отеком и кровоточивостью. Оно часто диагностируется у подростков и у женщин во время беременности. У этих категорий лиц болезнь имеет тяжелое течение в связи с гормональной перестройкой организма. От пародонтита гингивит отличается тем, что поражает только межзубные сосочки и слизистую оболочку десны.
Причины и симптомы гингивита
Врачи выделяют 3 основные формы гингивита:
- катаральный;
- язвенно-некротический;
- гипертрофический.
Врачи отмечают, что гингивит является распространенным заболеванием как у детей, так и у взрослых. Основными причинами его возникновения являются недостаточная гигиена полости рта, накопление зубного налета и бактерий, а также неправильное питание. Симптомы гингивита включают покраснение и отек десен, кровоточивость при чистке зубов и неприятный запах изо рта. Важно, что заболевание может протекать бессимптомно, что делает регулярные стоматологические осмотры особенно важными. Лечение гингивита обычно включает профессиональную чистку зубов, улучшение гигиенических привычек и, в некоторых случаях, применение антисептических средств. Врачи подчеркивают, что ранняя диагностика и адекватное лечение могут предотвратить развитие более серьезных заболеваний десен.

Катаральный гингивит
Катаральный гингивит возникает при недостаточной гигиене ротовой полости. Это приводит к накоплению микробного налета на поверхности зубов и образованию в дальнейшем зубного камня. Больше всего скоплений отмечается в области шеек зубов, где происходит контакт с десной, провоцируя в ней воспалительный процесс. Такая форма болезни встречается у 95 пациентов из 100.
Также катаральный гингивит может появляться на фоне следующих причин:
- заболевания крови;
- гормональные изменения;
- дефицит витамина C.
Данный вид гингивита характеризуется такими симптомами:
- покраснение или посинение десны;
- кровоточивость десны при чистке зубов;
- болевые ощущения;
- образование мягкого налета и зубного камня;
- отек межзубных сосочков и десневого края.
Катаральный гингивит может быть 2 вариантов течения – острый и хронический. Острая форма отличается более выраженными неприятными признаками, стремительным развитием, сильной кровоточивостью и болью при чистке зубов. При этом десна становится ярко красного цвета. Для хронического течения патологии характерны умеренные симптомы, которые долгое время беспокоят человека. Он не ощущает боль при чистке, а негативные признаки могут обостряться в период простудных заболеваний, когда ослаблен иммунитет.
Язвенно-некротический гингивит
Главную роль в развитии болезни играет плохой уход за зубами. На них постепенно образуется налет из спирохет и фузобактерий, приводящий к некрозу десны. Язвенный гингивит может возникать при резком снижении иммунитета или на фоне сопутствующих заболеваний хронического течения. При такой патологии десна покрывается белым или желтым налетом, повышается температура тела до 38-39 градусов, возникает головная боль, отмечается гнилостный запах изо рта, кровоточат десна.
Гингивит — это воспаление десен, которое может возникать как у детей, так и у взрослых. Многие родители обеспокоены состоянием полости рта своих детей, особенно если замечают покраснение или кровоточивость десен. Основными причинами гингивита являются недостаточная гигиена полости рта, накопление зубного налета и бактерий. У взрослых факторами риска могут быть курение, стресс и некоторые заболевания, такие как диабет. Симптомы включают болезненность десен, неприятный запах изо рта и изменение цвета десен. Лечение гингивита обычно начинается с улучшения гигиенических привычек: регулярной чистки зубов и использования зубной нити. В некоторых случаях может потребоваться профессиональная чистка у стоматолога. Важно не игнорировать симптомы, так как запущенный гингивит может привести к более серьезным проблемам с зубами и деснами.

Гипертрофический гингивит
Характеризуется хроническим течением и отеком десны. Заболевание поражает десневой край в области передней поверхности зубов. Оно возникает при нарушениях со стороны эндокринной системы, у беременных женщин, при гормональных изменениях в подростковом возрасте, неправильном прикусе и при наличии нависающих коронок и краев пломб. В редких случаях гипертрофия десны – это следствие хронического катарального гингивита.
Гипертрофический гингивит может быть 2 форм – отечная и фиброзная. Для отечной характерно увеличение десневых сосочков и их разрыхление вследствие хронического отека. При фиброзной форме сосочки плотные в связи с разрастанием фиброзной ткани.
Диагностика
Для диагностики потребуется визуальным и инструментальный осмотр пародонтологом. К дополнительным методам исследования относится рентгенография.
Лечение гингивита
Лечение катарального гингивита заключается в устранении причины воспаления десны и удаление зубного камня. Если налет на зубах мягкий, то его можно удалить при регулярной чистке полости рта. Для снятия воспалительного процесса назначают противовоспалительные препараты, антисептики для полосканий и аппликации с применением различных гелей. Обрабатывать десна следует дважды в сутки. Для полосканий можно применять раствор 0,05% Хлоргексидина. Полоскать рот следует после чистки зубов в течение 1 минуты. Для аппликаций подходит противовоспалительный гель Холисал и гель с антибактериальным эффектом Метрогил Дента. После обработки десен нельзя употреблять пищу не менее 2 часов.
Удаление зубных отложений осуществляется с помощью ультразвуковой чистки у стоматолога. Врач полирует зубы специальной щеткой и пастой, затем обрабатывает десну гелем. Достаточно 1 процедуры, чтобы устранить проблему.
Обратите внимание! Помимо удаления зубного налета и камня потребуется лечение всех кариозных зубов, поскольку они считаются рассадником инфекции и могут вызывать повторный гингивит.
Быстро уменьшить кровоточивость десен помогут пасты, в состав которых входит лактат алюминия, хлоргексидин и растительные экстракты. Одной из популярных зубных паст является Лакалут Актив.
При язвенном гингивите требуется экстренное удаление отложений на зубах. Затем стоматолог назначает антибактериальные препараты против анаэробных бактерий, спирохет и фузобактерий, полоскания антисептиками и накладывание аппликаций. Снять воспаление поможет гель Солкосерил и аналоги.
Если у пациента диагностирован гипертрофический гингивит, то потребуется хирургические вмешательство. Затем врач назначает противовоспалительную терапию. При отечной форме может быть использован скрерозирующий раствор. Его вводят инъекционно в десневые сосочки. Лечение состоит из 3-4 инъекций в каждый сосочек. Перерывы между инъекциями – 1-2 дня.
Народные средства
В комплексе с медикаментами лечить гингивит можно народными средствами. Для лечения гингивита у детей разрешается использовать раствор пищевой соды (0,5%) или светло-розовый раствор перманганата калия. Детям старше 2 лет при отсутствии гиперчувствительности следует смазывать десна медом дважды в день.
Лечение у взрослых состоит из применения травяных отваров и настоев. К эффективным народным средствам относятся цветки ромашки и календулы, листья грецкого ореха, шалфея и эвкалипта. Эти растения оказывают противовоспалительное действие. Готовить их довольно легко, достаточно взять 10 г сырья и залить 250 мл кипятка. Оставить смесь на полчаса, затем отцедить и полоскать полость рта до 3 раз в день.
Хорошо себя зарекомендовал в борьбе с гингивитом и пародонтитом отвар на основе золотого уса. Он готовится следующим образом:
- Измельчить 1 лист растения.
- Залить 1 л кипятка.
- Настаивать 1-1,5 часа.
- Добавить ½ ч. л. соли для усиления противовоспалительного эффекта.
При геморрагических гингивитах эффективно использовать отвар лапчатки прямостоячей. Следует взять 30 г истолченного сырья и соединить с 500 мл воды, кипятить в течение 10 минут. Отвар нужно отфильтровать и полоскать им ротовую полость трижды в день.
Для снятия воспалительного процесса во рту можно воспользоваться прополисом. Нужно взять 15 г измельченного прополиса и залить 60 мл этилового спирта. Настаивать 3 дня в теплом месте. Использовать настой следует по 5-7 капель, добавляя в 300 мл очищенной воды. Полоскания проводить не менее 3 раз в день.
В качестве противовоспалительного средства полезно использовать зверобойное масло. Достаточно измельчить 20 г цветков и листьев зверобоя до состояния порошка, залить 100 мл растительного масла и довести смесь до кипения. Отвар остудить и процедить, после чего применять для смазывания десен.
Обезболивающее и противомикробное действие при гингивите оказывает аир. Следует промыть корневища растения, порезать на небольшие кусочки и тщательно жевать на протяжении 10 минут до 3 раз в день.
Чистотел и кора дуба обладает сильным вяжущим эффектом. Они уменьшают кровоточивость десен и отек. Достаточно в равных частях взять оба ингредиента и залить 500 мл горячей воды. Когда средство настоится, полоскать им рот каждые 5 часов до облегчения состояния.
Болезнь гингивит можно лечить с помощью алоэ. Необходимо 2 раза в день жевать свежий лист алоэ или выдавить с него сок, смочить в нем марлевый жгут и приложить к больным участкам. Чтобы вылечить болезнь, потребуется 10 процедур.
Для лечения в домашних условиях можно использовать картофельный сок и имбирную вытяжку. В состав сока из свежих клубней картофеля входят в большом количестве фосфор, калий, сера и хлор, оказывающие противомикробное и успокаивающее действие. Вытяжка из имбиря положительно воздействует на слизистую оболочку и ускоряет процесс регенерации тканей.
Обратите внимание! При гингивите следует изменить рацион питания, исключив сладкие блюда. Рекомендуется внести в меню больше фруктов и овощей в виде соков и муссов.
Необходимо отказаться от слишком горячих и холодных блюд, поскольку резкие перепады температур провоцируют болезненные ощущения.
Взрослым и детям при таком диагнозе полезно употреблять плоды ежевики. В ней содержится много витаминов, ускоряющих восстановление десневой оболочки.
Одним из распространенных способов лечения в домашних условиях считается полоскание ротовой полости кефиром. Его следует выдержать 10 дней, затем использовать по назначению в течение 5 дней. Состояние пациента заметно улучшится уже в первые двое суток от начала лечения.
При воспалительном процессе рекомендуется массаж эфирными маслами. Для этого следует нанести на кончики большого и указательного пальцев пару капель эвкалиптового или пихтового масла и массировать аккуратными движениями десна с двух сторон в течение 10 минут. После процедуры не нужно полоскать ротовую полость. Это ускорит процесс выздоровления и усилит кровоток в деснах.
Отличным ранозаживляющим эффектом обладает облепиховое масло. Его следует наносить на марлевую полоску и прикладывать к воспаленным участкам на 1 час. Процедуру лучше выполнять перед сном.
Осложнения
При отсутствии осложнений лечение гингивита длится от 7 до 10 дней. хроническая форма заболевания требует длительной и более интенсивной терапии. Если ее не лечить, то это спровоцирует появление пародонтита и приведет к потере зубов. Согласно данным стоматологов, утрата зубов от гингивита происходит чаще, чем от кариеса.
Профилактика
Во избежание гингивитов следует выполнять простые рекомендации:
- Не пренебрегать обследованием у стоматолога.
- Обеспечить комплексный уход за ротовой полостью, включающий процедуры в домашних условиях и профессиональную чистку каждые 3-6 месяцев.
- Сбалансированно питаться, внеся в рацион питания больше овощей и фруктов.
- Убирать налет с помощью зубной нити.
- Чистить зубы не реже 2 раз в день.
- Использовать индивидуальные средства гигиены – зубочистки, ополаскиватели, дезодоранты для ротовой полости и другое.
- Очищать поверхность языка специальными скребками.
https://youtube.com/watch?v=ird6VJfSX7g%3Ffeature%3Doembed
Данная статья размещена исключительно в общих познавательных целях посетителей и не является научным материалом, универсальной инструкцией или профессиональным медицинским советом, и не заменяет приём доктора. За диагностикой и лечением обращайтесь только к квалифицированным врачам, в государственных больницах и частных клиниках.
Вопрос-ответ
Какие симптомы у гингивита?
Отек и гиперемия десен. Кровотечение из них во время чистки зубов. Болезненность при прикосновении. Несвежее дыхание. Размягчение десны и отделение ее от зуба. Ощущение зуда. Беловатый налет на деснах. Оголение шейки зуба вследствие рецессии (убыли ткани) десны. Ещё
Чем лечить гингивит у взрослого?
Асепта. Средство поможет справиться с кровоточивостью и устранить боль. Метрогил Дента. Противомикробное лекарство с антибактериальным и антисептическим средством в составе. Солкосерил. Помогает регенерации поврежденных тканей. Холисал. Обезболивающее и противомикробное средство.
Откуда берётся гингивит?
В большинстве случаев гингивит становится следствием неудовлетворительной гигиены полости рта и скопления зубного налета, который раздражают слизистую. В результате формируются десневые карманы (увеличивается расстояние между зубом и мягкими тканями), в которых активно размножаются бактерии.
От чего бывает гингивит у детей?
Почему появляется гингивит? Наиболее частая причина гингивита — плохая гигиена полости рта. Когда дети чистят зубы нерегулярно, без помощи взрослых, не пользуются зубной нитью или зубными ершиками, на зубах и десне образуется налет. Зубной налет накапливается и вызывает воспаление окружающих зуб тканей.
Советы
СОВЕТ №1
Регулярно проводите гигиену полости рта. Чистите зубы дважды в день и используйте зубную нить, чтобы удалить остатки пищи и налет, что поможет предотвратить развитие гингивита как у детей, так и у взрослых.
СОВЕТ №2
Обращайте внимание на симптомы. Если вы заметили покраснение, отечность или кровоточивость десен, не откладывайте визит к стоматологу. Раннее выявление и лечение гингивита значительно увеличивают шансы на успешное восстановление.
СОВЕТ №3
Следите за питанием. Употребление продуктов, богатых витаминами C и D, а также кальцием, способствует укреплению десен и зубов. Избегайте избыточного потребления сахара, который может способствовать развитию бактерий в полости рта.
СОВЕТ №4
Регулярно посещайте стоматолога. Профилактические осмотры и профессиональная чистка зубов помогут выявить проблемы на ранней стадии и предотвратить развитие гингивита и других заболеваний десен.




