Рак мочевого пузыря у женщин встречается преимущественно в возрасте 40-60 лет. Злокачественная опухоль становится причиной неприятных симптомов и при запоздалом лечении может стать причиной летального исхода.
Обратите внимание! Важно распознать заболевание на ранних стадиях развития, чтобы терапия принесла результат
Причины заболевания
Онкология возникает после формирования опухоли на слизистых оболочках мочевого пузыря. Причины рака мочевого пузыря у женщин до сих пор не изучены. Ученые считают, что заболевание провоцируют мутации на уровне 7 хромосомы.
К предрасполагающим факторам развития болезни относят:
- Курение. Табак негативно отражается не только на состоянии дыхательной системы, но и на организме в целом. Вывод вредных веществ осуществляется через мочевыделительную систему.
- Вредные условия труда. Химические примеси оказывают раздражающее влияние на стенки мочевого пузыря. В группу риска входят пациентки, работающие на производстве лакокрасочных изделий и химической продукции.
- Неполноценное питание с преобладанием в рационе жиров.
- Хронические патологии мочеполовой системы – папилломатоз или цистит.
Заболевание может передаваться по наследственной линии. Поэтому женщин, у ближайших родственников которых был диагностирован рак, относят к группе риска.
Врачи отмечают, что рак мочевого пузыря у женщин часто диагностируется на более поздних стадиях, что связано с неявными симптомами на ранних этапах. К основным признакам заболевания относятся частые позывы к мочеиспусканию, кровь в моче и болезненные ощущения. На стадии диагностики важно учитывать, что рак может иметь разные формы и степени агрессивности, что влияет на выбор лечения. Врачи рекомендуют комплексный подход, включая хирургическое вмешательство, химиотерапию и иммунотерапию. Прогноз зависит от стадии заболевания и общего состояния здоровья пациентки. Раннее выявление и своевременное лечение значительно повышают шансы на благоприятный исход. Специалисты подчеркивают важность регулярных медицинских осмотров и внимательного отношения к своему здоровью.

Стадии заболевания
В своем развитии онкологический процесс проходит несколько этапов. Каждый из этих периодов имеет свою клиническую картину.
На первой стадии аномальное образование располагается на поверхности органа, не покидая его пределов. Опухоль имеет четкие границы и не дает метастаз.
На второй стадии поражается подслизистый слой органа. Иногда раковый процесс распространяется на эпителиальные ткани и мышечные волокна.
Третья стадия патологии характеризуется распространением злокачественных клеток на соседние органы и ткани – влагалище, брюшину и стенки таза. В этом периоде заболевание проявляется яркой клинической картиной – болями внизу живота, проблемами с мочеиспусканием. Метастазы наблюдаются в региональных лимфоузлах и проникают в систему кровообращения, разносясь по всему организму.
На последней стадии рака происходит поражение всех органов, расположенных рядом с мочевым пузырем, наблюдаются отдаленные метастазы в печени, почках и костях таза.
Запущенная форма патологии провоцирует сильные боли, купирование которых происходит при помощи наркотических препаратов. Лечение запущенной формы заболевания имеет неблагоприятный прогноз
Виды опухолей мочевого пузыря
Злокачественное образование может состоять из различных клеток, поэтому существует несколько разновидностей недуга.
- Переходно-клеточный рак мочевого пузыря. Диагностируется в 90% случаев при поражении рассматриваемого органа.
- Плоскоклеточный тип заболевания. Основная причина развития патологии – цистит, протекающий в хронической форме.
- Карцинома, лимфома мочевого пузыря. Отмечается у женщин в крайне редких случаях.
Помимо перечисленной классификации, в зависимости от цитологической структуры заболевание подразделяют на низко — и высокодифференцированную форму. Рак мочевого пузыря может затрагивать только поверхностные ткани органа (поверхностный) или проникать вглубь эпителия (инвазионный).
Рак мочевого пузыря у женщин часто вызывает много вопросов и опасений. Симптомы могут включать частые позывы к мочеиспусканию, кровь в моче и болезненные ощущения. На ранних стадиях заболевание может протекать бессимптомно, что делает регулярные обследования особенно важными. В зависимости от стадии, лечение может варьироваться от хирургического вмешательства до химиотерапии и иммунотерапии. Прогноз зависит от степени распространения опухоли: при раннем выявлении шансы на полное выздоровление значительно выше. Важно помнить, что ранняя диагностика и своевременное лечение играют ключевую роль в успешной борьбе с этой болезнью. Женщины должны быть внимательны к своему здоровью и не игнорировать тревожные симптомы.

Первые симптомы
Первые признаки рака мочевого пузыря у женщин – постоянные позывы к мочеиспусканию, боль при походе в туалет. По клинической картине недуг схож с циститом.
По мере развития опухоли происходит нарушение функции органа. Состояние проявляется рядом признаков:
- изменением цвета кожи (особенно это заметно на фото);
- быстрой утомляемостью;
- ухудшением аппетита.
Перечисленные признаки, а также примеси крови в моче – причина для визита к урологу.
Симптомы на запущенных стадиях
Максимального проявления признаки заболевания достигают на поздних стадиях. Новообразование активно разрастается, поэтому женщина может испытывать:
- Проблемы с мочеиспусканием. Опухоль сдавливает мочевой канал, что становится причиной дискомфорта при походе в туалет. Вначале боль локализуется в лобковой зоне, а затем распространяется на область влагалища.
- Недержание мочи. При запущенном раке мочевого пузыря у женщин симптом проявляется чаще всего. На фоне проблемы могут возникать и другие неприятные ощущения – ложные позывы к мочеиспусканию, чувство неполного опустошения органа при походе в туалет. Данные симптомы возникают в случае, когда в патологический процесс вовлекается шейка мочевого пузыря.
- Неприятный запах мочи. Проблема возникает по причине разложения клеток раковой опухоли. Моча в этом случае приобретает аммиачный запах, а в ее составе можно рассмотреть гнойные примеси.
- Появление свищей. Аномальные образования поражают влагалище, мочевой пузырь или прямую кишку. Реже свищи локализуются над лобковой костью.
- Отеки ног. Если раковая опухоль метастазирует в региональные лимфоузлы, то это состояние сопровождается отеком нижних конечностей.
- Повышенная температура тела на протяжении длительного промежутка времени.
Важно! У женского пола симптомы заболевания усиливаются с течением времени. Состояние свидетельствует об активном росте и распространении раковых клеток на здоровые области.
Диагностика
Диагностика рака мочевого пузыря проводится с помощью цитоскопии. Во время процедуры врач осматривает поверхность органа при помощи специального оборудования – цитоскопа. После осмотра слизистых оболочек специалист сможет взять фрагмент тканей мочевого пузыря на биопсию. Обследование позволит подтвердить или опровергнуть наличие злокачественной опухоли.
Если образование имеет небольшие размеры, то рассмотреть его при помощи цитоскопа не получится. В этом случае процедуру дополняют другим анализом – флюоресцентным контролем. В клетки опухоли вводится специальный препарат, способный накапливаться в клетках аномального образования. Под воздействием света раковая опухоль будет выделяться на фоне здоровых тканей. Методика в 90% случаев позволяет диагностировать новообразование.
Следует знать! Определить наличие аномальных клеток в органе возможно при исследовании мочи. Фрагменты злокачественных тканей, по отзывам на форумах, обнаруживаются у 4 из 10 пациенток, больных раком.
Существуют лабораторные тесты, позволяющие выявить атипичные клетки в моче:
- ВТА-TRAK – тест;
- хемилюминесценция гемоглобина;
- ВТА – антиген;
Достоверность указанных методик 53-72%.
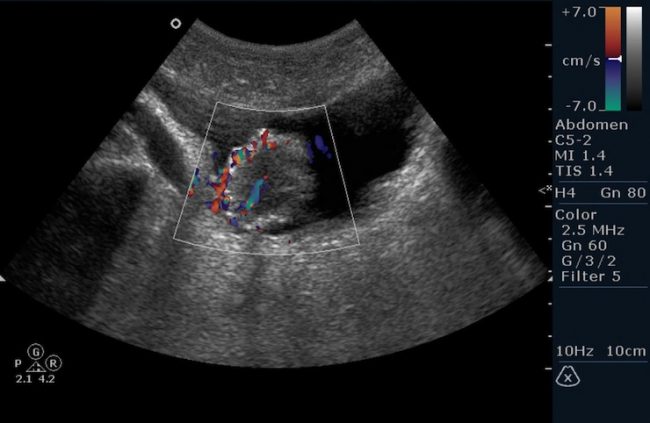
При подозрении на патологию в обязательном порядке назначается ультразвуковое исследование. Оно позволяет выявить место расположения опухоли, оценить ее размер и исключить метастазирование.
Для выявления прорастания рекомендуется выполнять трансуретральное обследование.
Следует знать! Определить раковое поражение шейки органа позволяет КТ и МРТ.
Основные методы лечения
У женщин лечение рака мочевого пузыря проводится с учетом нескольких факторов: общего состояния здоровья, степени прогрессирования заболевания, результатов анализов. Особое внимание уделяют стадии рака и наличию метастаз. На первых стадиях недуга терапия проходит быстро и без рецидивов. При запущенных формах рак лечится комплексно, с помощью:
- приема определенных медикаментов;
- лучевой и химиотерапии;
- оперативного вмешательства;
- иммунотерапии.
Хирургическое удаление опухоли
Методика оперативного вмешательства определяется хирургом с учетом стадии недуга и того, как он проявляется. Наиболее щадящим способом удаления опухоли считается ТУР (трансуретральная резекция). На теле больной после операции не останется разрезов, так как все манипуляции выполняются с помощью резектоскопа и цитоскопа, которые помещают в мочевой пузырь через отверстие в уретре. Чтобы быстро остановить кровотечение, место, где была опухоль, прижигается. Операция эффективна только при поверхностном поражении органа.
Среди нерадикальных методов борьбы с патологией выделяют трансуретральную электрокоагуляцию. Методика схожа с резекцией, но не включает в себя прижигания кровеносных сосудов, поэтому после процедуры возможно обильное кровотечение.
Еще один хирургический способ удаления опухоли – криохирургия. На пораженный участок воздействуют через зонд жидким азотом. Под воздействием низкой температуры клетки ракового образования отмирают.
При новообразованиях больших размеров пациенткам женского пола назначается резекция органа. Врач вскрывает мочевой пузырь и удаляет опухоль. Процедура позволяет сохранить орган и его функциональность, но имеет множество побочных эффектов, одним из которых является кровопотеря.
Запущенные стадии патологии лечатся при помощи цистэктомии, когда происходит полное удаление органа. Эта процедура назначается при проникновении раковых клеток в мышечный слой. Операция может быть назначена в случае неэффективности вышеописанных методов лечения патологии. После операции возможны побочные явления: недержание мочи, инфицирование почек и т.д.
Реабилитация после операции
Восстановление после операции включает в себя психологическую реабилитацию пациенток и соблюдение диеты. Справиться с депрессией больным помогают следующие мероприятия:
- медикаментозное лечение;
- сеансы у психолога;
- полноценный отдых;
- информирование женщины о состоянии ее здоровья;
- релаксотерапия с помощью музыки;
- общение с другими больными на форумах.
Эмоциональная стабильность помогает справиться с проблемой, в то время как депрессии и пессимизм наоборот ухудшают течение заболевания.
Важную роль в восстановлении играет и питание при раке мочевого пузыря. Список запрещенных и разрешенных продуктов при недуге представлен в таблице.
| Разрешенные продукты | Продукты с ограниченным потреблением | Запрещенные продукты |
| · томатный сок;
· грейпфруты; · абрикосы; · папайя; · арбуз; · орехи; · бобовые; · хлеб с отрубями; · диетические хлебцы. |
· нежирные сорта мяса;
· рыба; · субпродукты; · молоко; · кисломолочные продукты; · яичный белок. |
· консервация;
· кондитерские изделия; · шоколад; · соленые продукты; · полуфабрикаты; · кофе, крепкий чай, газированные напитки; · еда с химическими составляющими; · хлеб из белой муки. |
Важен не только рацион диеты, но и способ приготовления блюд. Предпочтение отдается отварной, тушеной и приготовленной на пару еде. Запрещено питаться жареной, конченой и запеченной до корки пищей.
Прогноз заболевания
Сколько живут пациентки с раком мочевого пузыря, зависит от степени развития заболевания и общего состояния здоровья женщины. Патологию, диагностированную на 1-2 стадии, успешно лечат при помощи операции. Риск рецидива проблемы при этом будет минимальным. Пятилетний прогноз выживаемости выглядит следующим образом:
- 1стадия – 85%;
- 2 стадия – 68%;
- 3 стадия – 55%;
- 4 стадия – 0%.
Следует знать! Отсутствие метастаз при раке дает возможность пациенткам жить дольше.
Рак мочевого пузыря – заболевание, которое чаще встречающееся у женщин. Его симптомы могут проявиться уже на начальных стадиях развития опухоли. Дискомфорт при мочеиспускании и боли внизу живота – признаки того, что пациентке необходима профессиональная помощь. Диагностированный на ранних стадиях недуг легко поддается терапии и имеет благоприятные прогнозы. Запущенные формы болезни считаются практически неизлечимыми и сопровождаются сильными болевыми ощущениями. Для предотвращения развития рака мочевого пузыря необходимо придерживаться профилактических мероприятий – соблюдать режим питья и приема пищи, посещать туалет при первом позыве, отказаться от вредных привычек.
https://youtube.com/watch?v=eZH_rsr1IIM%3Ffeature%3Doembed
Данная статья размещена исключительно в общих познавательных целях посетителей и не является научным материалом, универсальной инструкцией или профессиональным медицинским советом, и не заменяет приём доктора. За диагностикой и лечением обращайтесь только к квалифицированным врачам, в государственных больницах и частных клиниках.
Вопрос-ответ
Какие основные симптомы рака мочевого пузыря у женщин?
Симптомы рака мочевого пузыря могут включать частые позывы к мочеиспусканию, болезненное мочеиспускание, наличие крови в моче (гематурия), а также боли в области таза. Важно отметить, что эти симптомы могут быть связаны и с другими заболеваниями, поэтому при их наличии необходимо обратиться к врачу для диагностики.
Каковы стадии рака мочевого пузыря и как они влияют на лечение?
Рак мочевого пузыря делится на несколько стадий, от 0 до IV. На ранних стадиях (0 и I) опухоль обычно ограничена слизистой оболочки и может быть успешно удалена. На более поздних стадиях (II и III) рак может прорастать в более глубокие слои стенки мочевого пузыря и требует более агрессивного лечения, включая химиотерапию или радиотерапию. На стадии IV рак может метастазировать в другие органы, что значительно усложняет лечение и ухудшает прогноз.
Каков прогноз для женщин с раком мочевого пузыря?
Прогноз для женщин с раком мочевого пузыря зависит от стадии заболевания, общего состояния здоровья и ответа на лечение. В целом, при ранней диагностике и лечении 5-летняя выживаемость может достигать 90%. Однако на более поздних стадиях этот показатель снижается. Регулярные обследования и ранняя диагностика играют ключевую роль в улучшении прогноза.
Советы
СОВЕТ №1
Регулярно проходите медицинские осмотры и обследования. Раннее выявление рака мочевого пузыря значительно увеличивает шансы на успешное лечение. Обсуждайте с врачом любые изменения в вашем здоровье, особенно если вы замечаете необычные симптомы, такие как кровь в моче или частые позывы к мочеиспусканию.
СОВЕТ №2
Обратите внимание на факторы риска. Курение, воздействие химических веществ на рабочем месте и хронические инфекции мочевыводящих путей могут увеличить вероятность развития рака мочевого пузыря. Если вы относитесь к группе риска, обсудите с врачом дополнительные меры профилактики.
СОВЕТ №3
Поддерживайте здоровый образ жизни. Правильное питание, регулярные физические нагрузки и отказ от вредных привычек могут помочь укрепить иммунную систему и снизить риск развития рака. Включайте в рацион больше фруктов, овощей и цельнозерновых продуктов.
СОВЕТ №4
Не стесняйтесь задавать вопросы своему врачу. Если вам поставили диагноз рак мочевого пузыря, важно понимать все аспекты вашего состояния, включая стадии заболевания, доступные методы лечения и прогноз. Чем больше информации вы получите, тем более осознанно сможете принимать решения о своем лечении.





