Зубной камень — основные симптомы: Зубные отложения Неприятный запах изо рта Пятна на зубах
Зубной камень – довольно распространенная проблема, которая может возникать даже у тех, кто регулярно ухаживает за полостью рта. Устранить зубной камень можно, прибегнув к помощи стоматологов либо используя один из многочисленных народных методов.
Где лучше удалять камень из зубов – в клинике или дома, и что нужно делать, чтобы избежать его появления?
Как возникают камни на зубах
На поверхности зубной эмали скапливается множество патогенных микроорганизмов, которые, постепенно погибая, образуют налет из отмерших клеток. После приема пищи часть еды остается на межзубном пространстве и эмали и соединяется с микробной флорой, постепенно кристаллизуясь и превращаясь в отложения.
Обычно такой налет превращается в твердый минерал (камень) в течение 6-12 месяцев. Но влиять на разрастание и образование зубного камня могут дополнительные факторы:
- Неправильное строение ряда зубов, неверный прикус;
- Курение;
- Злоупотребление сладкой и жирной пищей, кофе, чаем, алкоголем;
- Неправильно выбранная зубная паста и щетка;
- Нарушенный водно-солевой обмен;
- Нерегулярная (или неправильная) гигиена ротовой полости;
- Болезни ЖКТ;
- Недостаток в организме витаминов.
Образование камня на зубах первоначально не доставляет никакого особенного дискомфорта, не мешает жеванию, не вызывает боли. Однако, если вовремя не избавиться от зубных отложений, могут возникнуть куда более серьезные проблемы.
Вред зубного камня:
- Появление пятен темного цвета на поверхности зубов;
- Возникновение парадонтита и пародонтоза;
- Неприятный запах изо рта;
- Воспаление желез внутренней секреции и распространение патогенных микробов по всему организму;
- Расшатывание и выпадение зубов.
Часто зубной камень путают с кариесом, но разница между этими заболеваниями существует: кристаллический налет формируется именно у основания зуба, не затрагивая область зуба, участвующую в жевательном процессе.
По внешним признакам различают два вида налёта:
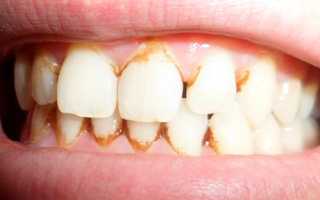
- Наддесневый – можно заметить невооруженным глазом в области соприкосновения зуба и десны. Этот тип зубных образований можно обнаружить даже у подростков – обычно он имеет светлый оттенок (от беловатого до желтого), но у курильщиков может иметь и более темный цвет.
- Поддесневый – между зубом и десной образовывается своеобразный кармашек, в котором активно размножаются бактерии. Чаще обнаруживается случайно при стоматологических хирургических операциях либо на рентгеновских снимках. Цвет таких образований – темный, почти черный или коричневатый. Удаляется только в специальных клиниках.
Обратите внимание! Небольшие отвердевшие отложения и пищевой налет на открытых местах можно попытаться удалить самому. Поддесневые отложения устраняются только с помощью специальных инструментов в клинике.
Способ, как удалить зубной камень, будет зависеть от типа налета. В домашних условиях можно снять только мягкий микробный налет, который еще не успел кристаллизироваться. Полностью минерализованный камень снять самостоятельно не получится, но, если он затвердел лишь частично и имеет небольшие размеры, можно попробовать избавиться от него дома.
Зубной камень представляет собой твердые отложения, образующиеся на зубах в результате минерализации зубного налета. Врачи отмечают, что его цвет может варьироваться от светло-желтого до темно-коричневого, в зависимости от питания и гигиенических привычек пациента. Удаление зубного камня в домашних условиях, как правило, не рекомендуется, так как это может привести к повреждению эмали и десен. Специалисты подчеркивают важность профессиональной чистки в стоматологической клинике, где используются специальные инструменты и технологии, обеспечивающие безопасное и эффективное удаление. Регулярные визиты к стоматологу помогут предотвратить образование зубного камня и сохранить здоровье полости рта.

Домашние способы
Наддесневый камень можно удалить в домашних условиях, используя, как подручные народные способы, так и профессиональные средства, которые можно приобрести в аптеках и специализированных магазинах.
Зубные щетки
Помимо традиционных средств для ежедневной очистки зубной поверхности, помочь справиться с небольшими зубными отложениями и пигментным налетом на зубах помогут щетки двух типов:
- Электрощетка со встроенным генератором. Чистка зубного камня происходит посредством волн ультразвукового диапазона, разрушающих небольшие зубные отложения, прикрепленные к поверхности зубов.
- Электрощетка с вращающей головкой. За счет скорости вращения и пульсации щетка позволяет попасть в самые труднодоступные места, и частично разрушить и удалить налёт, с которым не может справиться обычная зубная щетка.
Как и обычные щетки, электрощетки нуждаются в тщательном уходе: их нужно тщательно промывать после каждого использования, не хранить в сырой среде и заменять каждые три месяца.
Зубной камень — это твердые отложения, образующиеся на зубах из-за минерализации налета. Многие люди делятся своими впечатлениями о том, как он выглядит на фото: желтоватые или коричневые пятна на зубах, которые могут вызывать дискомфорт и ухудшать внешний вид улыбки. Удаление зубного камня в домашних условиях часто обсуждается, но специалисты предупреждают, что это может быть неэффективно и даже опасно. Использование зубных паст и ополаскивателей не всегда помогает избавиться от проблемы. В клиниках же предлагают профессиональную чистку, которая гарантирует удаление налета и камня с помощью ультразвуковых аппаратов. Пациенты отмечают, что после процедуры чувствуют себя значительно лучше, а их улыбка становится ярче.

Зубные пасты
Специальные пасты предназначены для устранения пигментного налета и частично кристаллизованных зубных образований.
В состав таких паст входят:
- Абразивы (мелкие твердые частицы, удаляющие налет);
- Полидон и пирофосфаты (разрыхлители налета);
- Расщепляющие ферменты (папаин, бромелаин).
Важно! Каждый день можно пользоваться электрощеткой с обычной пастой, а вот абразивные пасты нужно использовать не чаще 1-2 раз в неделю.
Зубная паста от зубного камня должна отвечать следующим характеристикам:
- Уровень RDA, указанный на пастах, должен составлять свыше сотни единиц. Этот показатель отражает размер и число абразивных единиц. Но для людей, имеющих чувствительную эмаль, следует выбирать показатель RDA не больше 25.
- В состав пасты не должен входить лаурил сульфат натрия, который может нанести вред организму.
- Фториды и фтор не должны превышать в составе пасты более 0,6%, т.к. в большем количестве они весьма токсичны.
- Триклозан, содержащийся в большинстве паста, отрицательно сказывается на кислотном балансе зубной поверхности.
К пастам с повышенным уровнем абразивности для отбеливания относят President White Plus, Lacalut White.
Зубная нить
Использование зубной нити не устранит застаревший налет, но поможет избежать его появления и снимет мягкие отложения.
Лучше всего использовать нити Royal Denta Silver, Global White.
Народные средства
Существует масса домашних народных средств, которые позиционируются, как лучшие методы устранения зубного камня. Согласно отзывам, многие из них действительно помогают справиться налетом, но некоторые способы критикуются стоматологами, как наносящие вред эмали зубов.
Как убрать зубной камень в домашних условиях:
- Сок черной редьки и лимона. Смесь двух соков дает абразивно-химический эффект: налет расщепляется и удаляется позже в процессе жевания. Очищенная редька натирается на терке, после чего в нее капают сок лимона. Полученную кашицу необходимо тщательно разжевать, а остатки – выплюнуть.
- Перекись и сода. 10 капелек перекиси водорода смешать с 5 г соды и капнуть три капельки сока лимона. Состав аккуратно нанести на места, где образуется камень, подержать пару минут, после — тщательно ополоснуть рот. Проводить процедуру нужно не более двух раз в неделю.
- Соль. Намоченную зубную щетку окунуть в обычную поваренную соль и произвести очистку зубов в течение 2-3 минут. Средство считается очень абразивным, поэтому чистка зубов от зубного камня должна проводиться максимально осторожно.
- Масла. Снять налет поможет пара капель масла чайного дерева или кокосового масла: их смешивают с небольшим количеством оливкового или подсолнечного масла, после чего накладывают в качестве аппликации на зуба за полчаса до основной очистки на 10-12 минут
Обратите внимание! Нельзя пытаться удалить камень с зубов с помощью режущих или острых инструментов.
Одним из лучших методов, как удалить зубной камень в домашних условиях, являются полоскания. Используют отвар полевого хвоща, грецкого ореха, чистотела, фасоли и корня лопуха:
- Полевой хвощ заваривают из расчета – одна большая ложка на стакан кипятка. После чего полученным настоем полощут ротовую полость трижды в день, удерживая отвар минуты по три во рту.
- Кору грецкого ореха измельчают и заваривают кипятком (на стакан кипятка заваривается одна большая ложка), после чего настой помещают на медленный огонь минут на двадцать. С помощью отвара проводят чистку зубов, окуная в него щетку (около 5 раз в день).
- Кожуру от фасоли и размельченный лопух (по 15 г каждого) смешать и залить стаканчиком кипятка (250 мг). Подержать 5-7 минут смесь на огне, после чего оставить на 30-45 минут. Отваром можно полоскать рот (трижды в сутки) либо использовать его дважды в день для очистки зубов.
- Чистотел заливают кипятком (стакан воды на 15 г растения), настаивают около получаса в теплом месте. Полощут дважды в сутки отваром ротовую полость, при этом избегая попадания отвара внутрь (он обладает сильным токсическим и аллергическим эффектом).
Специалисты утверждают, что не все перечисленные средства, как избавиться от зубного камня в домашних условиях, могут качественно устранить налет, а некоторые очень опасны в использовании. Например, применение эфирных масел может вызывать аллергические реакции и привести к ожогу слизистой, лимон и другие кислоты вымывают кальций из зубной эмали и повышают ее стираемость, отвары из растений не имеют сильного воздействия на камень и лишь сверху очищают зубы.
По этой причине снятие зубного камня должно производиться в профессиональных условиях либо с использованием проверенных средств, рекомендованных стоматологом.
Устранение зубного камня в клинике
С запущенными формами зубного камня бороться самостоятельно бесполезно, поэтому чаще всего для его удаления пользуются услугами профессионалов: пародонтологов, стоматологов, зубных хирургов.
Врач определяет степень поражения зубов, после чего предлагает один из способов, как снять зубной камень:
- Удаление лазером;
- Ультразвуковую очистку;
- Механическое удаление;
- Воздушно-абразивный метод;
- Химическое протравливание.
Снятие зубного камня проходит в клинике в несколько этапов: сначала непосредственно удаляются зубные отложения, после чего производится полировка в области коронки для устранения шероховатостей. После удаления зубного камня зубная поверхность обрабатывается фторосодержащими препаратами.
Механическое воздействие на камни с помощью специальных стоматологических крючков считается устаревшим методом, т.к. сопровождается болевыми ощущениями и может травмировать эмаль и десна. Не менее опасен и химический метод воздействия, при котором на зубную поверхность наносятся специальные химические вещества, размягчающие твердые образования. Такие вещества могут повредить эмаль и, тем самым, спровоцировать различные стоматологические заболевания.
Налет на начальных стадиях можно убрать воздушно-абразивным способом, с помощью раствора, содержащего абразивные вещества, который с помощью струи воздуха направляется на проблемные места.
Наиболее приемлемыми методами, с помощью которых удается минимизировать контакт зубов со стоматологическим оборудованием, являются методы ультразвукового и лазерного удаления. Однако, удаление зубного камня ультразвуком имеет некоторые противопоказания (например, сердечно-сосудистые заболевания, онкология, диабет), а лазерное удаление стоит очень дорого.
Средние цены на удаление камней с зубов варьируются в среднем от 2500 до 7000 руб. в зависимости от выбранного метода и квалификации стоматологической клиники.
Как лучше удалить камень с зубов: отзывы
Лучшим способом избавиться от зубных отложений остается профессиональная чистка, но ее недостаток в том, что эта процедура не всем по карману. А удаленный камень, даже если очистка проведена в стоматологической клинике, через какое-то время все равно нарастает – у кого-то через полгода, а у кого-то уже через месяц.
Поэтому домашние методы устранения зубного камня весьма актуальны, если при этом еще проводить профилактические мероприятия:
- Раз в полгода проводить очистку зубов с помощью абразивной пасты;
- Регулярно использовать ополаскиватель, зубную нить, жевательную резинку с кальцием (без сахара);
- Дважды в день чистить зубы;
- Менять каждые 3-4 месяца зубную щетку;
- Проходить осмотр у стоматолога дважды в год.
Отзывы показывают, что, несмотря на популярность домашних методов очищения от зубного камня, они дают лишь незначительный эффект, особенно если пренебрегать профилактическими мерами. Поэтому лучше хотя бы раз в год прибегать к профессиональной очистке зубов, чтобы не допустить их разрушения и избежать новых стоматологических проблем.
https://youtube.com/watch?v=XcoCZwO8LNI%3Ffeature%3Doembed
Данная статья размещена исключительно в общих познавательных целях посетителей и не является научным материалом, универсальной инструкцией или профессиональным медицинским советом, и не заменяет приём доктора. За диагностикой и лечением обращайтесь только к квалифицированным врачам, в государственных больницах и частных клиниках.
Вопрос-ответ
Чем убирают зубной камень стоматологи?
Удалить твердые отложения можно только в условиях стоматологической клиники, где для этого применяют ультразвук. Он отлично разрушает камень, но абсолютно безопасен для десен и зубных тканей. Если у пациента чувствительные зубы, проводится анестезия.
Как стоматологи удаляют зубной камень?
Во время чистки стоматолог-гигиенист удаляет налет и зубной камень с ваших зубов с помощью специальных инструментов . Он также тщательно очистит промежутки между зубами и отполирует поверхность зубов с помощью резиновой чашечки и зернистой зубной пасты. Многие люди могут держать зубной камень под контролем, проводя чистку каждые шесть месяцев.
Сколько стоит удалить зубной камень?
На сегодняшний день средняя цена за снятие зубного камня составляет 90 — 150 руб. В эту стоимость включена только обработка зуба специальным ультразвуковым скаллером, так же в услугу включена финишная полировка абразивными пастами.
Можно ли удалять зубной камень самому?
Категорически нельзя использовать острые или другие подручные инструменты для удаления зубного камня у себя во рту, так как есть вероятность повредить зубы или поранить десны. Зубной камень можно безопасно удалить только в кабинете стоматолога.
Советы
СОВЕТ №1
Регулярно проводите осмотр своих зубов. Обратите внимание на изменения цвета и текстуры эмали, а также на появление желтоватых или коричневых отложений. Это поможет вам заметить зубной камень на ранней стадии и принять меры для его удаления.
СОВЕТ №2
Поддерживайте правильную гигиену полости рта. Чистите зубы не менее двух раз в день и используйте зубную нить для удаления остатков пищи между зубами. Это поможет предотвратить образование зубного камня и сохранить здоровье десен.
СОВЕТ №3
Изучите методы удаления зубного камня в домашних условиях, но будьте осторожны. Используйте специальные пасты и ополаскиватели, которые помогают ослабить отложения, но не пытайтесь удалить камень самостоятельно с помощью острых предметов, чтобы избежать повреждения зубов и десен.
СОВЕТ №4
Регулярно посещайте стоматолога для профессиональной чистки зубов. Это поможет не только удалить зубной камень, но и выявить другие проблемы с зубами и деснами на ранней стадии, что в долгосрочной перспективе сэкономит вам время и деньги на лечение.








