Гастродуоденит у взрослых – это наиболее часто встречающееся заболевание желудочно-кишечного тракта. Оно характеризуется воспалением двенадцатиперстной кишки и пилорической зоны желудка. Хронический гастродуоденит может долгое время не беспокоить человека, лишь время от времени заявлять о себе изжогой и болями при длительных перерывах между едой. Но наступает момент, когда заболевание являет себя во всей красе и заставляет человека принять меры.
Причины возникновения гастродуоденита
Причины, вызывающие это заболевание, разделяют на эндогенные (внутренние) и экзогенные (внешние). К эндогенным факторам относятся повышенная кислотность желудка, недостаточная выработка слизи, защищающей слизистую желудка и двенадцатиперстной кишки от желудочного сока и желчи. Не последнюю роль в формировании заболевания играет наследственность: если у ваших родственников был диагностирован гастродуоденит, то велика вероятность, что у вас есть склонность к этому заболевании. Различные заболевания желчного пузыря и печени также могут поспособствовать развитию гастродуоденита.
К экзогенным факторам относится привычка есть слишком горячую, острую, жареную пищу, копчености и соленья, а также чрезмерное употребление алкоголя. При повышенной кислотности большие перерывы между приемами пищи заставляют желудочный сок разъедать слизистую желудка, а также вызывает застой желчи. Некачественная, несвежая еда с множеством консервантов также способны привести к воспалению. Длительное нерегулярное питание всухомятку даже при нормальных, полезных продуктах способно повредить желудку и вызвать воспаление. Бактерия helicobacter pylori является причиной появления язвы желудка, но она также может привести к гастродуодениту. В этом случае заболевание часто сопровождает и язвенная болезнь.
Отдельно необходимо сказать о психогенных причинах, способствующих появлению гастродуодениту. Стрессы, переживания, потрясения, постоянное нервное напряжение, часто повторяющиеся сложные ситуации – все это нарушает работу желудочно-кишечного тракта, губительно сказываясь на усваивании пищи, выработке секреции и правильном функционировании кишечника. При этом возникшее заболевание существенно сказывается на эмоциональном состоянии человека, появляется постоянная раздражительность и беспокойство, а периодические боли и изжога мало способствуют хорошему расположению духа. Поэтому разорвать этот замкнутый круг и вылечить болезнь бывает очень сложно.
Гастродуоденит — это воспалительное заболевание, затрагивающее слизистую оболочку желудка и двенадцатиперстной кишки. Врачи отмечают, что его симптомы могут включать боль в верхней части живота, тошноту и изжогу. Основными причинами гастродуоденита являются неправильное питание, стресс и инфекция Helicobacter pylori. Специалисты подчеркивают важность своевременной диагностики и лечения, так как запущенные формы заболевания могут привести к серьезным осложнениям. Лечение обычно включает диету, антисекреторные препараты и антибиотики при наличии инфекции. Врачи рекомендуют также избегать алкоголя и курения, что способствует улучшению состояния и предотвращению рецидивов.

Виды заболевания
Как и большинство воспалительных процессов, гастродуоденит может быть обострившимся, хроническим и острым. Чаще всего встречается именно хронический гастродуоденит, так как пациенты редко обращаются к врачу, пока их заболевание не станет сложно переносимым. Пациенты обращаются к гастроэнтерологу, как правило, в период обострения болезни. Обострение гастродуоденита может быть как единичным, так и регулярно повторяющимся.
Хронический гастродуоденит развивается в результате отсутствия лечения воспаления либо незавершенного лечения после первичного обострения. Нередко бывают случаи, когда заболевание сразу же приобретало хронический характер, на фоне которого появлялись обострения и ремиссии.
Хроническая форма заболевания может иметь следующий вид:
- эрозивный гастродуоденит;
- поверхностный гастродуоденит;
- смешанный гастродуоденит;
- гипертрофический гастродуоденит.
При этом заболевание имеет разные формы протекания в зависимости от уровня кислотной секреции. Различают воспаление желудка и двенадцатиперстной кишки с низкой, нормальной и повышенной секреторной функцией.
Хронический гастродуоденит: симптомы и возникновение
Симптомы хронического гастродуоденита могут быть настолько разными, что диагностировать по ним заболевание бывает крайне сложно. Эта болезнь заключается не только в воспалительном процессе части желудка и двенадцатиперстной кишки. Двенадцатиперстная кишка вырабатывает подобные гормонам вещества, которые необходимы для нормального пищеварения и регулируют работу кишечника.
Двенадцатиперстная кишка гарантирует успешное переваривание белков, углеводов, жиров, а также витаминов и минеральных веществ. При ее воспалении нарушается пищеварение, усвояемость питательных веществ, иногда возникает состояние авитаминоза, хотя питание человека содержит все необходимые ему компоненты. Часто люди самостоятельно лечат симптомы, не подозревая, что имеют дело с воспалительным процессом, «загоняя» его в хроническую форму. Так как потребности организма у разных людей несколько отличаются в зависимости от многих факторов, симптомы гастродуоденита разнятся в зависимости от пола и возраста человека.
Хроническое заболевание имеет постоянные, но не слишком заметные симптомы, которые в момент обострения значительно усиливаются. Обычно больной чувствует боль или дискомфорт в эписагстральной зоне, ощущают распирание в животе. После приема пищи часто возникают спазматические боли, а также ощущение переполненности желудка, даже если съедено было совсем немного пищи. Больной часто испытывает тошноту, которая иногда заканчивается рвотой, бывает изжога с кислым привкусом. Нарушена работа кишечника: частые поносы или запоры, либо чередование двух этих явлений. Язык отекает и покрывается бело-желтым налетом, особенно в вечернее время и после пробуждения, на языке заметных отпечатки зубов по бокам.
Помимо проявлений со стороны ЖКТ больные гастродуоденитом испытывают беспричинное раздражение, очень быстро утомляются, бывают сонливы или страдают от бессонницы. Кроме того, у них нередко наблюдается бледность кожных покровов и потеря веса при достаточно калорийном питании.
Иногда гастродуоденит путают с рефлюкс-эзофагитом, который представляет собой воспаление нижнее части пищевода. Но, в отличие от рефлюкс-эзофагмта, воспаление двенадцатиперстной кишки появляется медленно, в то время как эзофагит может появиться после пищевого отравления или длительного употребления спиртных напитков, особенно некачественных.
Гастродуоденит — это воспаление слизистой оболочки желудка и двенадцатиперстной кишки, которое может вызывать дискомфорт и болевые ощущения в области живота. Люди, страдающие от этого заболевания, часто жалуются на тошноту, изжогу и потерю аппетита. Причинами гастродуоденита могут быть неправильное питание, стресс, злоупотребление алкоголем и инфекция Helicobacter pylori. Для диагностики заболевания необходимо обратиться к врачу, который проведет гастроскопию и назначит анализы. Лечение включает в себя диету, прием антацидов и антибиотиков, если обнаружена инфекция. Важно следовать рекомендациям специалиста и не заниматься самолечением, чтобы избежать осложнений и улучшить качество жизни.

Симптомы различных форм заболевания
Поверхностный гастродуоденит вызывается уплотнением и отечностью складок эпителия двенадцатиперстной кишки. Симптомы такие, как описаны выше, про проявляются они более ярко, а обострение отличатся внезапностью. Вызывается эта форма болезни, как правило, внешним воздействием. Это могут быть антибиотики, алкоголь, вредная еда, инфекция. Изредка причиной становится генетическая предрасположенность. Характерная черта поверхностного гастродуоденита – боль и дискомфорт в животе после каждого приема пищи, частая изжога, от которой очень сложно избавиться. При рвоте ощущается горький привкус желчи во рту.
Гипертрофическая форма характеризуется появлением точечных кровоизлияний и увеличении слизистого налета на эпителии кишки. Помимо этого появляется отек двенадцатиперстной кишки. Эта форма точно определяется лишь лабораторно при заглатывании зонда. Единственный признак, по которому ее можно отличить (и то не всегда) – боль, при нажатии на живот в верхней его части. Боль длится некоторое время после нажатия, затем проходит.
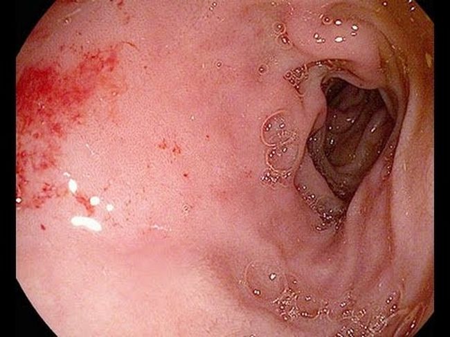
Эрозивная форма ничем не отличается от двух предыдущих за исключением того, что на слизистой кишки образуются эрозии. Это наиболее опасная форма протекания болезни, так как после нее может быстро развиваться язва, которая в двенадцатиперстной кишке крайне тяжело поддается лечению. Характерным признаком эрозий является постоянная тошнота и боль в желудке в первой половине дня, особенно утром, после пробуждения. Тошнота часто приводит к рвоте, в которой можно обнаружить след крови. Кровь иногда также появляется в стуле. Это означает, что появление эрозии приводит к кровотечению. Необходимо срочно обратиться к врачу, если еще не был поставлен диагноз, и лечение не было назначено.
Диагностика
Главную роль в диагностике играет эндоскопическое исследование, которые позволяет оценить состояние слизистой. Гистологическое исследование дает возможность узнать, есть ли воспаление и атрофический процесс. Иногда для точности анализов больному приходится проглатывать специальный зонд.
Если болезнь была диагностирована, то для определения ее формы проводят ультразвуковое исследование. Перед УЗИ пациенту нужно выпить как можно больше воды, чтобы увеличить точность исследования.
Лечение
Гастродуоденит, лечение которого является систематическим и комплексным, можно вылечить полностью, если разрушения зашли еще не очень далеко.
Схема лечения выбирается врачом в зависимости от формы заболевания, но в большинстве случаев больному показан постельный режим, избегание стрессов и диета № 1. Суть лечения заключается в том, чтобы помочь организму самостоятельно избавиться от воспаления. Для этого достаточно лишь некоторое время ему не мешать.
Если была обнаружена бактерия helicobacter pylori, то назначаются средства, улучшающие моторику двенадцатиперстной кишки и антибиотики. После этого – все тот же постельный режим и диета. Когда состояние больного улучшается, то диета № 1 по назначению врача сменяется диетой № 5. Выздоровлению способствуют минеральные воды, подобранные лечащим врачом, физиотерапия, прогулки на свежем воздухе.
Чтобы избежать обострений, больной хронической формой гастродуоденита должен ежегодно проходить санаторное лечение и постоянно соблюдать диету № 5, меню которой достаточно разнообразно, если подойти к этому вопросу креативно.
Также необходимо помнить такие правила:
- в день нужно есть не менее 6 раза маленькими порциями;
- вся еда должна тщательно пережевываться;
- следует избегать слишком горячих или холодных напитков.
Диета при гастродуодените является основным лечением, поэтому отнестись к своему питанию следует очень внимательно. Можно ли есть иногда запрещенные продукты? Можно, но при этом нужно быть готовым к ухудшению своего самочувствия.
Лечение гастродуоденита народными средствами
Часто при хронических воспалительных процессах больному требуется в первую очередь медикаментозное лечение, а народные средства являются лишь помощниками. Но в случае с дуоденитом народное лечение более чем показано (если не был обнаружен helicobacter pylori).
Значительно улучает состояние отвар свежей мяты. Если нет свежей мяты, то подойдет сухая, которая заливается кипятком на ночь. Соотношение воды и мяты берется произвольно, на свой вкус. Пить отвар нужно утром до еды, жидкость должна быть чуть теплой. При желании можно пить такой отвар после еды вместо привычного чая.
Семена льна также способствуют лечению. Столовую ложку семян нужно измельчить в кофемолке, а затем залить 0.5 л воды и кипятить на медленном огне в течение 15 минут. В течение месяца нужно принимать этот отвар теплым натощак. Семена льна при термической обработке вырабатывают слизь, которая защищает желудок двенадцатиперстную кишку от агрессивного желудочного сока, а также помогает быстро восстановиться эпителию. Отвар помогает очень быстро забыть о болях в животе.
Важно: Если лечение народными средствами не дает никаких результатов, или состояние ухудшается, то необходимо обратиться к врачу. Перед тем, как лечить болезнь травами и отварами, нужно убедиться, что диагноз поставлен верно.
Профилактика гастродуоденита
Профилактика заключается в здоровом образе жизни и правильном, щадящем питании. Если человек хочет иметь здоровый ЖКТ, то ему необходимо отказаться от курения, большого количества спиртного, злоупотребления жирной, соленой и копченой пищей. Также вред способны нанести слишком кислые фрукты, газированные напитки. Люди, которые едят 2-3 раза в день и не делают перекусов, часто болеют воспалительными процессами желудочно-кишечного тракта.
Голодовки и низкокалорийные диеты, включающие в себя огромное количество клетчатки, помогают быстро сбросить вес, но губительны для желудка, поэтому их желательно заменить правильным дробным питанием.
Стресс является одной из причин возникновения гастродуоденита, поэтому нужно стараться избегать сильных переживаний и находить время для расслабления.
https://youtube.com/watch?v=IBybaHlbJWg%3Ffeature%3Doembed
Данная статья размещена исключительно в общих познавательных целях посетителей и не является научным материалом, универсальной инструкцией или профессиональным медицинским советом, и не заменяет приём доктора. За диагностикой и лечением обращайтесь только к квалифицированным врачам, в государственных больницах и частных клиниках.
Вопрос-ответ
Какое лекарство лечит гастродуоденит?
Лекарственные средства, применяемые в терапии гастродуоденита, направлены в частности на уничтожение Helicobacter Pylori. Где-то 7-10 дней больной принимает противохеликобактерные препараты: «Омепразол», «Де Нол», «Амоксициллин». Точную схему и дозировку препаратов может подобрать ТОЛЬКО гастроэнтеролог.
Что категорически нельзя есть при гастродуодените?
Борщ, окрошка, грибной суп, щи. Сырые овощи. Маринады и соленья. Жирное мясо. Копчености, консервы. Бобовые. Макароны. Каши – пшенная, перловая, кукурузная, ячневая. Ещё
Что может спровоцировать гастродуоденит?
Побочными факторами развития болезни служат бактерия хеликобактер, курение, хронический тонзиллит, кариес, кишечные инфекции и заболевания печени, поджелудочной железы или желчного пузыря. В случае наличия основного заболевания гастродуоденит носит характер вторичного заболевания.
Где боли при гастродуодените?
Симптомы гастродуоденита могут появиться внезапно, через некоторое время после приема пищи. В некоторых случаях приступ может обостриться натощак. Боль при гастродуодените носит ноющий или схваткообразный характер, ощущается в верхней средней части живота, может иррадиировать в область пупка или подреберья.
Советы
СОВЕТ №1
Обратитесь к врачу для точной диагностики. При первых симптомах гастродуоденита, таких как боли в животе, тошнота или изжога, важно не заниматься самолечением, а обратиться к специалисту. Только врач сможет назначить необходимые анализы и подтвердить диагноз.
СОВЕТ №2
Следите за своим питанием. Избегайте острых, жареных и жирных блюд, а также кофе и алкоголя, которые могут усугубить состояние. Сосредоточьтесь на легкой, сбалансированной пище, богатой витаминами и минералами, чтобы поддерживать здоровье желудка.
СОВЕТ №3
Соблюдайте режим питания. Регулярные приемы пищи в одно и то же время помогут снизить нагрузку на желудок. Старайтесь есть небольшими порциями 4-5 раз в день, чтобы избежать переедания и уменьшить риск обострения гастродуоденита.
СОВЕТ №4
Управляйте стрессом. Психоэмоциональное состояние может влиять на здоровье желудка. Практикуйте методы релаксации, такие как йога или медитация, чтобы снизить уровень стресса и улучшить общее самочувствие.






